La pneumonie est une infection des poumons qui peut être causée par des bactéries, des virus, des champignons ou d'autres agents pathogènes. Elle se caractérise par une inflammation des petites voies respiratoires et des alvéoles pulmonaires, ce qui peut entraîner une altération de la capacité des poumons à échanger correctement l'oxygène et le dioxyde de carbone.

Types : il existe plusieurs types de pneumonie en fonction de l'agent pathogène responsable :

  • Pneumonie bactérienne : causée par des bactéries telles que Streptococcus pneumoniae (pneumocoque) ou Haemophilus influenzae.
  • Pneumonie virale : causée par des virus tels que le virus de la grippe (influenza) ou le virus respiratoire syncytial (VRS).
  • Pneumonie fongique : causée par des champignons tels que Candida ou Aspergillus.
  • Pneumonie atypique : causée par des agents pathogènes moins courants tels que Mycoplasma pneumoniae ou Chlamydia pneumoniae.

Causes : la pneumonie peut être contractée par l'inhalation de gouttelettes infectieuses propagées par une personne infectée par un agent pathogène respiratoire, ou par aspiration de sécrétions de la bouche vers les poumons chez des personnes affaiblies ou sous anesthésie générale.

Symptômes : les symptômes de la pneumonie peuvent varier en fonction du type d'infection et de la gravité de la maladie, mais les symptômes courants incluent :

  • Fièvre et frissons.
  • Toux avec production de mucus ou de sang.
  • Essoufflement ou difficulté à respirer.
  • Douleur thoracique lors de la respiration profonde.
  • Fatigue et faiblesse.
  • Maux de tête et douleurs musculaires.
  • Confusion chez les personnes âgées ou les nourrissons.

Complications : les complications possibles de la pneumonie incluent :

  • Insuffisance respiratoire nécessitant une assistance respiratoire.
  • Septicémie (infection généralisée dans le sang).
  • Abcès pulmonaire (collection de pus dans les poumons).
  • Pleurésie (inflammation des membranes entourant les poumons).
  • Dommages permanents aux poumons.

Diagnostic : le diagnostic de la pneumonie peut être posé à l'aide de plusieurs méthodes, notamment :

  • Examen physique, auscultation des poumons et évaluation des symptômes du patient.
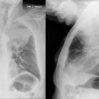
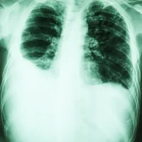
  • Radiographie thoracique pour visualiser les zones affectées des poumons.
  • Analyse des expectorations pour déterminer l'agent pathogène responsable.
  • Prélèvements sanguins pour évaluer les marqueurs inflammatoires.

Traitements : le traitement de la pneumonie dépend du type d'infection et de la gravité de la maladie, et peut inclure :

  • Antibiotiques pour les infections bactériennes.
  • Antiviraux pour les infections virales spécifiques.
  • Antifongiques pour les infections fongiques.
  • Gestion des symptômes tels que la fièvre et la douleur.
  • Repos et hydratation pour favoriser la guérison.

Préventions : pour prévenir la pneumonie, il est recommandé de :

  • Se faire vacciner contre le pneumocoque et la grippe, en particulier pour les personnes à risque élevé.
  • Éviter le tabagisme et l'exposition à la fumée secondaire.
  • Se laver les mains régulièrement et éviter le contact avec des personnes infectées en cas d'épidémies de maladies respiratoires.

Il est important de consulter rapidement un professionnel de la santé en cas de symptômes de pneumonie, en particulier chez les personnes âgées, les nourrissons et les personnes ayant un système immunitaire affaibli, car la pneumonie peut être grave et nécessiter un traitement médical approprié.

Note importante : les informations communiquées ci-dessus ne le sont qu’à titre informatif, elles ne peuvent en aucun cas constituer une base pour un diagnostic ou un traitement. En cas de symptômes ou de soupçons, il vous est vivement recommandé de vous rapprocher d’un ou tout autre professionnel de la santé habilité. Plus de 40.000 professionnels de la santé sont référencés sur notre plateforme, vous pouvez à tout moment consulter notre annuaire, prendre un rendez-vous au cabinet, à domicile ou en télé-consultation en un clic sur www.docteur360.com